-
From Pharmacological Resistance to Physical Neu...
The expert team at Fuwai Hospital (Beijing) has successfully pioneered Renal Denervation (RDN) for Refractory Hypertension (RH). By utilizing radiofrequency energy to suppress hyperactive sympathetic drive, this procedure offers a...
From Pharmacological Resistance to Physical Neu...
The expert team at Fuwai Hospital (Beijing) has successfully pioneered Renal Denervation (RDN) for Refractory Hypertension (RH). By utilizing radiofrequency energy to suppress hyperactive sympathetic drive, this procedure offers a...
-
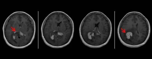
Managing Medically Refractory Acute Stroke: Cli...
This case highlights a 68-year-old female patient whose neurological status rapidly deteriorated to complete hemiplegia despite medical therapy. The Expert Team at Beijing Fuwai Hospital successfully restored TICI Grade 3...
Managing Medically Refractory Acute Stroke: Cli...
This case highlights a 68-year-old female patient whose neurological status rapidly deteriorated to complete hemiplegia despite medical therapy. The Expert Team at Beijing Fuwai Hospital successfully restored TICI Grade 3...
-
From Morphology to Composition: Beijing Radiolo...
Using $3.0T$ quantitative MRI ($T_{2}$-Mapping & $T_{1}$ Map), the Beijing Radiology Expert Team successfully localized "invisible" lesions by measuring biochemical shifts in the cartilage matrix, establishing a digital baseline for...
From Morphology to Composition: Beijing Radiolo...
Using $3.0T$ quantitative MRI ($T_{2}$-Mapping & $T_{1}$ Map), the Beijing Radiology Expert Team successfully localized "invisible" lesions by measuring biochemical shifts in the cartilage matrix, establishing a digital baseline for...
-
From 80mm to 20mm: How Fuwai Hospital’s Expert ...
This technical review analyzes a high-precision pediatric case at Fuwai Hospital (Beijing), where a 2-year-old female underwent a Modified Right Axillary Mini-Incision for Ventricular Septal Defect (VSD) repair. Moving beyond...
From 80mm to 20mm: How Fuwai Hospital’s Expert ...
This technical review analyzes a high-precision pediatric case at Fuwai Hospital (Beijing), where a 2-year-old female underwent a Modified Right Axillary Mini-Incision for Ventricular Septal Defect (VSD) repair. Moving beyond...
-
Global Clinical Resource Allocation: Facilitati...
We have successfully coordinated a complex fertility preservation case for a Malaysian MDS patient at Peking University Third Hospital. The case sets a new clinical benchmark with natural conception occurring...
Global Clinical Resource Allocation: Facilitati...
We have successfully coordinated a complex fertility preservation case for a Malaysian MDS patient at Peking University Third Hospital. The case sets a new clinical benchmark with natural conception occurring...
-
Diagnosis and Treatment of Rare Cardiac Conditi...
Mrs. Lim, a 58-year-old Malaysian patient, was initially misdiagnosed with idiopathic pulmonary arterial hypertension (IPAH). After a comprehensive diagnostic evaluation in Beijing, she was correctly diagnosed with a double-chambered right...
Diagnosis and Treatment of Rare Cardiac Conditi...
Mrs. Lim, a 58-year-old Malaysian patient, was initially misdiagnosed with idiopathic pulmonary arterial hypertension (IPAH). After a comprehensive diagnostic evaluation in Beijing, she was correctly diagnosed with a double-chambered right...
-
Why Choose WISHCA
Full Support AwaitsFounded in 2010, WISHCA connects international patients with Beijing’s top hospitals and elite specialists — providing rapid access, advanced treatments, and complete recovery support.
-
Beijing Surgery & Transplant Services
Explore TreatmentAccess top-tier hospitals and expert surgeons in Beijing for advanced treatments like MRI-guided surgery and organ transplants. Our patients’ success stories reflect the fast, precise, and reliable care we provide for international patients.
-
Top Doctors & Hospitals in Beijing
Explore the ProcessDiscover our 4-Step Elite Treatment Process, offering fast, precise care through Beijing’s leading hospitals and specialists for international patients.
-
Dr. Guanyuguang: Leading Expert in Functional N...
Dr. Guanyuguang, a renowned expert in functional neurosurgery, specializes in treating complex neurological conditions such as epilepsy, Parkinson’s disease, and movement disorders. With over 6,000 successful epilepsy surgeries and groundbreaking...
Dr. Guanyuguang: Leading Expert in Functional N...
Dr. Guanyuguang, a renowned expert in functional neurosurgery, specializes in treating complex neurological conditions such as epilepsy, Parkinson’s disease, and movement disorders. With over 6,000 successful epilepsy surgeries and groundbreaking...
-
Professor Guoming Luan: Leading Expert in Funct...
Professor Luan Guoming is a distinguished neurosurgeon specializing in functional neurosurgery. With over 40 years of experience, he has made significant contributions to the treatment of epilepsy, Parkinson's disease, and...
Professor Guoming Luan: Leading Expert in Funct...
Professor Luan Guoming is a distinguished neurosurgeon specializing in functional neurosurgery. With over 40 years of experience, he has made significant contributions to the treatment of epilepsy, Parkinson's disease, and...
-
Professor Yu Chunjiang: A Leading Expert in Sku...
Professor Yu Chunjiang is a pioneering neurosurgeon specializing in skull base surgery, with over 11,000 successful intracranial tumor surgeries. He has significantly advanced the field through his research, international collaborations,...
Professor Yu Chunjiang: A Leading Expert in Sku...
Professor Yu Chunjiang is a pioneering neurosurgeon specializing in skull base surgery, with over 11,000 successful intracranial tumor surgeries. He has significantly advanced the field through his research, international collaborations,...
-
Beijing Anzhen Hospital: China’s Global Leader ...
Founded by Academician Wu Yingkai, a pioneer of cardiothoracic surgery in China, Beijing Anzhen Hospital is a top-tier tertiary hospital specializing in cardiovascular and pulmonary medicine. As one of the...
Beijing Anzhen Hospital: China’s Global Leader ...
Founded by Academician Wu Yingkai, a pioneer of cardiothoracic surgery in China, Beijing Anzhen Hospital is a top-tier tertiary hospital specializing in cardiovascular and pulmonary medicine. As one of the...
-
PLA General Hospital: A Leading Military-Civili...
The PLA General Hospital is a top-tier medical institution in Beijing, renowned for its excellence in military and civilian medical services. It plays a vital role in healthcare innovation, research,...
PLA General Hospital: A Leading Military-Civili...
The PLA General Hospital is a top-tier medical institution in Beijing, renowned for its excellence in military and civilian medical services. It plays a vital role in healthcare innovation, research,...
-
Peking University Tongren Hospital: A Leading M...
Peking University Tongren Hospital, founded in 1886, is a leading medical institution in China, renowned for its expertise in ophthalmology and otolaryngology. The hospital is recognized for its research capabilities,...
Peking University Tongren Hospital: A Leading M...
Peking University Tongren Hospital, founded in 1886, is a leading medical institution in China, renowned for its expertise in ophthalmology and otolaryngology. The hospital is recognized for its research capabilities,...